Studio Stradiot | T/F. 051.212.578 | Kontakt

Naše usluge

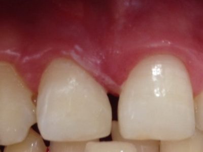
Estetska stomatologija

UGRADNJA ZUBNOG NAKITA

U ordinaciji ugrađujemo dentalni nakit koji se specijalnim metodama lijepi na površinu zuba bez oštećenja zubne cakline. Svaki nakit se jednostavnom metodom poliranja u bilo kojem trenutku može skinuti s površine zuba.

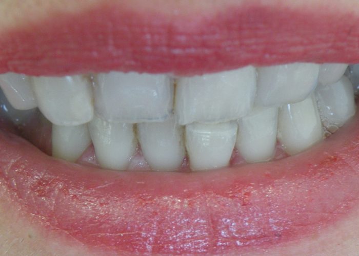
IZBJELJIVANJE ZUBI JE JEDNOSTAVNO I EFIKASNO U STRADIOTU!

Izbjeljivanje zubi je postupak u estetskoj stomatologiji za koji se odlučuje sve veći broj pacijenata. Bijeli zubi čine Vaš osmijeh ljepšim i blistavijim, a lijep osmijeh i bijeli zubi su svačija želja. Međutim, održavati zube bijelima tijekom godina nije lako. O caklini ovisi bjelina zubi, a ona, ukoliko ju zapostavljamo, može izgubiti svoj sjaj. Srećom, izbjeljivanje zubi je vrlo efikasan i rutinski postupak nakon kojeg su vidljive promjene.

Izbjeljivanje kod kuće i u ordinaciji

Izbjeljivanje zubi je moguće obavljati i samostalno, ali ono neće imati takav učinak kao ono koje se obavlja od strane profesionalaca i stručnjaka u ordinaciji. Različite paste za zube i slični preparati mogu ukloniti pigmente nastale uslijed konzumacije kave ili primjerice cigareta, ali ne mogu posvijetliti zube u mjeri u kojoj je to moguće u ordinaciji. Osim toga, izbjeljivanje zubi na ovaj način može biti rizično u smislu oštećenja gingive (zubnog mesa) , pogotovo ako se strogo ne slijede upute proizvođača.

Izbjeljivanje u ordinaciji je u svakom slučaju preporučljiviji izbor. Prije svega, rizik od nuspojava je minimalan. Iako su mnogi sa skepsom gledali na izbjeljivanje zubi, mnogobrojna istraživanja su pokazala kako opasnosti od ovog zahvata nema. Osim toga, rezultat je daleko kvalitetniji, što podrazumijeva bijelije zube i ljepši osmijeh.

Konzultacije i očekivanja

Razgovor sa stomatologom prije postupka izbjeljivanja može pomoći pacijentu da stvori sliku o cjelokupnom procesu i odredi realna očekivanja. Moglo bi se reći da su tri razine vidljivosti izbjeljenja. Žućkaste nijanse zubi se najlakše korigiraju i rezultati su odlični. Ukoliko su zubi već poprimili svjetlosmeđu boju, izbjeljivanje će biti vrlo dobro, ali manje vidljivo, dok je sivkaste nijanse zubi najteže izbijeliti.

Također, vrlo je važno savjetovati se sa stomatologom ukoliko ste stavljali plombe (ispune)  ili ste bili podvrgnuti nekim zahvatima na zubima (endodoncija). Prema tome se stomatolog može ravnati i iskreno Vam reći kakva su očekivanja i mogućnosti zahvata.

Najsuvremenija oprema

Američka tvrtka Ultradent i njezina najmodernija oprema jamstvo su kvalitetnog zahvata. Također, ordinacija Stradiot pri izbjeljivanju koristi i laser kojim se poboljšava djelovanje izbjeljivanja.



Galerija